코로나19 환자 폐에 구멍···이식수술 성공

1969
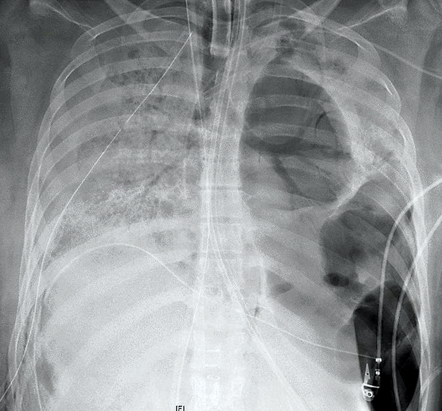
엑스레이에 나타난 폐에 구멍이 난 모습.

■ 화제 스토리
중증환자 치료에 희망
시카코 노스웨스턴대
코로나 환자 첫 성공 사례

코로나19 감염으로 폐에 심각한 손상을 입은 중증 환자가 양쪽 폐를 모두 이식받는데 성공해 코로나 19 중증 환자 치료에 새로운 희망이 되고 있다.

12일 USA 투데이는 코로나19 바이러스 감염으로 양쪽 폐에 다수의 구멍이 생기고 심장, 횡격막의 섬유화가 진행돼 치료가 불가능해 보였던 20대 여성이 시카코 노스웨스턴대 메모리얼병원에서 지난 주 10시간이 넘는 수술 끝에 양쪽 폐를 성공적으로 이식받았다고 보도했다.

코로나 19 중증환자에 대한 폐 이식수술은 미국에서 처음으로 성공한 것이어서 코로나19 중증 환자를 치료에 새로운 희망이 될 것으로 기대된다. 20대로 알려진 인 이 환자는 지난 금요일 노스웨스턴 메모리얼 병원에서 수술을 받기 전 거의 두 달 동안 인공호흡기 등을 단 채 생명을 유지하고 있었다. 이 수술을 한 앙키트 바라트 박사는 “코로나 19 바이러스가 폐에 다수 발생한 구멍들을 통해 흉벽에 달라 붙어 있는 상태여서 10시간 동안 진행된 수술은 매우 도전적이었다”고 말했다.

의사들은 이 환자의 몸이 치유되는 동안 당분간 인공호흡기 등의 도움을 받아야 하지만 정상적인 삶을 회복할 가능성이 크다고 전망했다. 이 병원 폐 이식 프로그램 책임자인 레이드 토믹 박사 “그녀가 완전히 회복하게 될 것으로 기대한다”고 말했다.  기저질환이 없는 상태에서 지난 4월말 입원한 이 환자는 상태가 급격히 악화돼 의료진은 환자의 건강상태가 호전될 때까지 6주간을 기다리며 폐 이식 수술을 검토해왔다. 입원 직후 인공호흡기 치료를 시작할 정도로 상태가 좋지 않았고, 인공호흡기 치료에도 상태가 호전되지 않아 혈액에 직접 산소를 공급했지만 차도가 나타나지 않았다.

결국 폐 손상이 진행되고 심장과 간에도 이상이 생겼다. 의료진은 폐 이식 수술밖에 방법이 없다고 판단했다. 이식 수술을 집도한 바라트 박사는 “환자가 입원 후 급격히 상태가 악화됐고, 폐와 심장, 간 등이 빠르게 손상되는 징후가 나타나 폐 이식 수술 밖에는 방법이 없다는 결론을 내렸다”고 고 말했다.

폐는 장기 이식 수술 중에서도 가장 난이도 높고 수술 사례도 많지 않다. 지난 해 미국 장기 이식수술 4만여건 중 폐 이식 수술은 7%에 불과했다. 성공적으로 양쪽 폐 이식수술을 받아 기사회생한 이 환자는 현재 의식을 찾았고, 지금은 면회 온 가족을 만날 수 있을 정도로 회복된 것으로 알려졌다.

또, 이식 후에도 ‘거부반응’이 보이지 않고 있다. 하지만, 환자의 근육이 호흡이 어려울 정도로 손상돼 한동안 후유증은 남을 것으로 의료진은 전망하고 있다.  의료진은 이번 이식 수술 성공으로 중증 코로나19 환자들도 희망을 가질 수 있게 된 것으로 보고 있다. 하지만, 코로나19 중증환자가 모두 폐 이식 수술을 받기는 어렵다는 것이 의료진의 판단이다. 환자가 비교적 연령대가 젊고 코로나 19 감염 전 앓고 있는 기저질환이 없어야 폐 이식 수술이 성공할 수 있다는 것이다.<김상목 기자>

시카고 한인사회 선도언론 시카고 한국일보
615 Milwaukee Ave Glenview, IL 60025