Sign in
  • Home
  • 종합뉴스
    • 주요뉴스
      • 한국일보
    • 경제
    • 주간한국
    • 교육
    • 스포츠종합
    • 연예
    • 기획시리즈
    • 종교
    • 시카고 라이프
  • Featured
  • 로컬뉴스
  • 이민·유학
  • 부동산
  • 장익경 특파원
  • 이가희 특파원
  • 오피니언
    • 전문가 칼럼
      • 노병천 박사 칼럼
      • 채규만 교수의 심리학 세계
      • 김성한 칼럼
      • H마트 알아두면 유용한 식품상식
      • 이명덕 재정칼럼
  • 전자신문
  • 업소록
  • About Us
    • 가판대 위치
Sign in
Welcome!Log into your account
Forgot your password?
Password recovery
Recover your password
Search
Logo
Logo
spot_img
39.1 F
Chicago
Sunday, April 19, 2026
  • Los Angeles
  • New York
  • Washington DC
  • San Francisco
  • Seattle
  • Philadelphia
  • Hawaii
  • Atlanta
  • Toronto
  • Home
  • 종합뉴스
    • 주요뉴스
      • 한국일보
    • 경제
    • 주간한국
    • 교육
    • 스포츠종합
    • 연예
    • 기획시리즈
    • 종교
    • 시카고 라이프
  • Featured
  • 로컬뉴스
  • 이민·유학
  • 부동산
  • 장익경 특파원
  • 이가희 특파원
  • 오피니언
    • 전문가 칼럼
      • 노병천 박사 칼럼
      • 채규만 교수의 심리학 세계
      • 김성한 칼럼
      • H마트 알아두면 유용한 식품상식
      • 이명덕 재정칼럼
  • 전자신문
  • 업소록
  • About Us
    • 가판대 위치
spot_img
spot_img
Home 종합뉴스 시카고 라이프

시카고 라이프

Latest
  • Latest
  • Featured posts
  • Most popular
  • 7 days popular
  • By review score
  • Random

미국 맥도날드에 뜬 ‘케데헌’ 메뉴… “한글 포장 신기하고 자랑스러워”

Chicago Korea Times - 04/07/2026

디카시 세계화와 K문학의 미래 조명하는 특별 강연, 시카고서 개최

건강보험 변경 시즌 마감 임박… “지금은 점검이 중요합니다”

시카고 디카시 연구회, 제3회 작품전시회 리셉션 성황

시카고 강물 초록빛으로 물든다

정월 대보름에 개기월식 ‘장관’

Chicago Korea Times - 03/05/2026

노스웨스턴 메디칼 센터 교외 지역 확장

Chicago Korea Times - 03/04/2026

시카고한인여성회, 뮤지컬 ‘영웅들’ 수익금 전달

Chicago Korea Times - 02/19/2026

<아네스의 세계미술관 산책 10> 샤갈이 유리에 새긴 시카고 스카이라인

Chicago Korea Times - 02/19/2026

제11회 모자이크 기독창작문예 공모 개최

Chicago Korea Times - 02/18/2026

일리노이 숨은 명소를 찾아라!

Chicago Korea Times - 02/13/2026

일리노이 차량 타이틀 전면 디지털화… 7월부터 의무 시행

Chicago Korea Times - 02/12/2026

두바이의 맛, 트렌드를 점령하다

Chicago Korea Times - 02/10/2026

”세대 확장과 찬양 선교 매진… 동포사회와 교계 섬길 것”

Chicago Korea Times - 02/09/2026

H 마트, ‘설 봉투 증정 이벤트’ 실시

Chicago Korea Times - 02/02/2026

H마트 샴버그 2호점 오픈 기념 영수증 이벤트 실시

Chicago Korea Times - 01/30/2026

시카고한인문화원, 임미정 피아니스트 초청 강연

Chicago Korea Times - 01/30/2026

 “쇼핑을 넘어 문화가 되는 공간” H마트 샴버그 2호점 성황리 개점

Chicago Korea Times - 01/29/2026

[박현주 대표변호사] 2026년 달라진 미국 법 “불법점거 형사 대응·부동산 사기 알림제...

Chicago Korea Times - 01/27/2026

시카고 여름 농산물 시장, 신규 판매자 모집

Chicago Korea Times - 01/27/2026

겨울철 이불 세탁, 얼마나 자주 해야 할까

Chicago Korea Times - 01/27/2026

세계 최대 도서관은 어디?

Chicago Korea Times - 01/26/2026

혹한 속 차량, 미리 시동 걸 필요 있을까?

Chicago Korea Times - 01/23/2026

재향군인회 미중서부지회장 선거, 서기석 후보 단독 등록

Chicago Korea Times - 01/20/2026

123주년 ‘미주 한인의 날’ 기념행사

Chicago Korea Times - 01/13/2026

함께 걷는 한인사회 ‘2026년 새해 약속’

Chicago Korea Times - 01/13/2026

일리노이, 오바마케어 2차 마감 1월 31일로 연장

Chicago Korea Times - 01/12/2026

제37대 시카고 한인회, 2025 연말 송년회 개최

Chicago Korea Times - 12/29/2025

2026년도 한국일보 업소록 발간

Chicago Korea Times - 12/24/2025

개솔린 가격 점점 내려가

Chicago Korea Times - 12/16/2025

일리노이대 교대 수업 자료 유출… 편향된 성·인종 교육 방식 논란

Chicago Korea Times - 12/15/2025

“어르신의 하루를 돌보고, 가족의 마음을 덜다”

Chicago Korea Times - 12/15/2025

시카고한인회, 글랜뷰·노스브룩 경찰서 방문

Chicago Korea Times - 12/15/2025

시온회, ‘사랑의 쌀 100포대’ 한인회 통해 전달

Chicago Korea Times - 12/15/2025

시카고문인협회 허정자 전 회장, 제16회 한미문단 ‘지식공감 문학상’ 수상

Chicago Korea Times - 12/15/2025

미중서부이북오도민연합회 송년회 성료

Chicago Korea Times - 12/15/2025

“21년의 노래, 잠시 멈춘 리틀올코리아 예술단”

Chicago Korea Times - 12/09/2025

무궁화 아파트 공작반, 연말 이웃돕기 전시·판매 개최

Chicago Korea Times - 12/02/2025

H 마트 샴버그 2호점 오픈… 10개 브랜드 푸트코트 입점

Chicago Korea Times - 11/26/2025

추수감사절 연휴 즐길거리 ‘풍성’

Chicago Korea Times - 11/25/2025

일리노이 주택 가격 6년 새 50% 급등… 주택 부족 심화

Chicago Korea Times - 11/25/2025

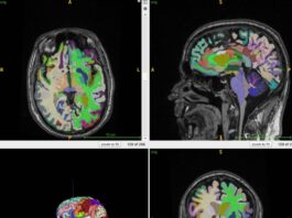
[건강포커스] “근육량 많고 복부지방 적을수록 뇌 노화 속도 느리다”

Chicago Korea Times - 11/25/2025

제22회 세종음악경연대회 수상자 발표

Chicago Korea Times - 11/24/2025

일리노이 한인부동산인협회, 신임 회장에 비비안 리 씨

Chicago Korea Times - 11/24/2025

연말 분위기 제대로! 시카고 겨울 무료 축제 ‘풍성’

Chicago Korea Times - 11/21/2025
123...8Page 1 of 8

주요뉴스

‘아르테미스Ⅱ’ 비행사 “지구 귀환, 고층 건물서 뛰어내린 기분”

04/17/2026

美민주, 뉴저지 연방하원 보선 대승…’트럼프 민심이반’ 뚜렷

04/17/2026

포드, F-150 픽업트럭 140만 대 리콜…기어 변속 결함으로 사고 위험

04/17/2026

하원, 공화당 내분 속 외국정보감시법(FISA) 단기 연장안 통과

04/17/2026

국토안보부 토드 라이언스 ICE 국장 대행, 사임 발표

04/17/2026

로컬뉴스

FAA, 안전 사고 및 무더기 결항 막기 위해 올여름 오헤어 공항 운항 감축 결정

04/17/2026

시카고 80억 달러 부채 방치 속 공무원들도 900만 달러 체납… 공직 기강 무너졌다

04/17/2026

미시간 주유소 직원, 납치된 16세 소녀 구조…입 모양으로 “도와달라” 신호 보내

04/17/2026

워키건서 활동하는 한국인 작가 김영, “바구니 짜기로 불교적 명상 표현”

04/17/2026

포드 시티 몰 폐쇄 가능성…법원 “구조 붕괴 위험 대비하라”

04/17/2026

경제

현대차그룹, 미국 시장 판매순위 4위 ‘우뚝’

04/13/2026

다우 300포인트 하락-유가 $115.7, 이란 공격 시한 임박 영향

04/07/2026

“미국 경기침체 온다…역대 최악 가능성도”, ‘더 힐’

04/06/2026

미국, 3월 일자리 17만 8천 개 증가…이란 전쟁 격화 속에서도 고용시장 견조

04/03/2026

금요일마다 주유 할인 아마존 회원 혜택 확대

04/03/2026
Logo

ABOUT US

1038 S. Milwaukee Ave. Wheeling, IL 60090 (847) 290-8282

Contact us: admin@chicagokoreatimes.com

ADVERTISEMENT INQUIRIES

VIEW MEDIA KIT

Contact: ad@chicagokoreatimes.com

  • Home
  • 종합뉴스
    • 주요뉴스
      • 한국일보
    • 경제
    • 주간한국
    • 교육
    • 스포츠종합
    • 연예
    • 기획시리즈
    • 종교
    • 시카고 라이프
  • Featured
  • 로컬뉴스
  • 이민·유학
  • 부동산
  • 장익경 특파원
  • 이가희 특파원
  • 오피니언
    • 전문가 칼럼
      • 노병천 박사 칼럼
      • 채규만 교수의 심리학 세계
      • 김성한 칼럼
      • H마트 알아두면 유용한 식품상식
      • 이명덕 재정칼럼
  • 전자신문
  • 업소록
  • About Us
    • 가판대 위치
Manage Consent
To provide the best experiences, we use technologies like cookies to store and/or access device information. Consenting to these technologies will allow us to process data such as browsing behavior or unique IDs on this site. Not consenting or withdrawing consent, may adversely affect certain features and functions.
Functional Always active
The technical storage or access is strictly necessary for the legitimate purpose of enabling the use of a specific service explicitly requested by the subscriber or user, or for the sole purpose of carrying out the transmission of a communication over an electronic communications network.
Preferences
The technical storage or access is necessary for the legitimate purpose of storing preferences that are not requested by the subscriber or user.
Statistics
The technical storage or access that is used exclusively for statistical purposes. The technical storage or access that is used exclusively for anonymous statistical purposes. Without a subpoena, voluntary compliance on the part of your Internet Service Provider, or additional records from a third party, information stored or retrieved for this purpose alone cannot usually be used to identify you.
Marketing
The technical storage or access is required to create user profiles to send advertising, or to track the user on a website or across several websites for similar marketing purposes.
  • Manage options
  • Manage services
  • Manage {vendor_count} vendors
  • Read more about these purposes
View preferences
  • {title}
  • {title}
  • {title}